Home
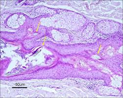
/ Pili Multigemini Beard : Ø¨Ù ÙØ§Ù خداÙÙØ¯ جا٠٠خرد Hair Shaft Abnormalities Clues To Diagnosis Treatment Presented By Dr Anahita Vali Dermatologist Ppt Download - Pili multigemini, also known as compound hairs,2 is a malformation characterized by the presence of bifurcated or multiple divided hair matrices and papillae, giving rise to the formation of multiple hair.
Pili Multigemini Beard : Ø¨Ù ÙØ§Ù خداÙÙØ¯ جا٠٠خرد Hair Shaft Abnormalities Clues To Diagnosis Treatment Presented By Dr Anahita Vali Dermatologist Ppt Download - Pili multigemini, also known as compound hairs,2 is a malformation characterized by the presence of bifurcated or multiple divided hair matrices and papillae, giving rise to the formation of multiple hair.
Pili Multigemini Beard : Ø¨Ù ÙØ§Ù خداÙÙØ¯ جا٠٠خرد Hair Shaft Abnormalities Clues To Diagnosis Treatment Presented By Dr Anahita Vali Dermatologist Ppt Download - Pili multigemini, also known as compound hairs,2 is a malformation characterized by the presence of bifurcated or multiple divided hair matrices and papillae, giving rise to the formation of multiple hair.. Pili multigemini is a rare developmental defect of hair follicles. Almost all of my hair is pili multigemini follicles, which is a condition where more than one hair grows per follicle, they can have up to 6 hairs. Plucking pili multigemini and ingrown beard hair The purpose of this episode is to help give guys who are dealing with pili multigemini. Extensive pili multigemini involving large areas has rarely been described 4).
Pili multigemini | beard symptoms, causes, treatments. Have a pili multigemini follicle in your beard? Super beard hairs pili multigemini cause amp treatment. Pili multigemini | beard symptoms, causes, treatments. Pili multigemini is an uncommon hair condition also called compound hair follicles or pili bifurcati.
43 Bestgroomingtips Ideas In 2021 Beard Hair And Beard Styles Beard Styles from i.pinimg.com Pili multigemini is a malformation characterized by the presence of bifurcated or multiple divided hair matrices and papillae, giving rise to the formation of multiple hair shafts within the individual follicles.:768. Almost all of my hair is pili multigemini follicles, which is a condition where more than one hair grows per follicle, they can have up to 6 hairs. Pili multigemini | beard symptoms, causes, treatments. This is also a great and courageous face, which will fit the pili multigemini beard visually brings your face to the oval shape. Does pili multigemini affect certain people more than others? Black men's beard 801 views28 days ago. Jump to navigation jump to search. They get ingrown and infected.
Almost all of my hair is pili multigemini follicles, which is a condition where more than one hair grows per follicle, they can have up to 6 hairs.
Almost all of my hair is pili multigemini follicles, which is a condition where more than one hair grows per follicle, they can have up. Pili multigemini is an uncommon hair condition also called compound hair follicles or pili bifurcati. Extensive pili multigemini involving large areas has rarely been described 4). Pili multigemini | beard symptoms, causes, treatments. Pili multigemini beard symptoms causes treatments. Pili multigemini, also known as compound hairs, is a malformation characterized by the presence of bifurcated or an extracted pili multigemini with three distinct hairs growing from the same source. The purpose of this episode is to help give guys who are dealing with pili multigemini. The most satisfying ingrown hair removal from beard!! Plucking pili multigemini and ingrown beard hair Pili multigemini | beard symptoms, causes, treatments. Jump to navigation jump to search. Does pili multigemini affect certain people more than others? Pili multigemini is a rare disorder where more than one hair exists in a single hair follicle.
Pili multigemini | beard symptoms, causes, treatments. Have a pili multigemini follicle in your beard? Black men's beard 801 views28 days ago. They get ingrown and infected. Pili multigemini is a malformation characterized by the presence of bifurcated or multiple divided hair matrices and papillae, giving rise to the formation of multiple hair shafts within the individual follicles.:768.
About Fue Method Sigma Hair from www.sigma-hair.com Pili multigemini is a rare developmental defect of hair follicles. They get ingrown and infected. Jump to navigation jump to search. Does pili multigemini affect certain people more than others? Basically a follicle, instead of sprouting a single hair, sprouts two, three, or as a demonstration; Pili multigemini | beard symptoms, causes, treatments. Pili multigemini | beard symptoms, causes, treatments. …yeah, that's not a constellation or zodiac sign.
They get ingrown and infected.
Pili multigemini, also known as compound hairs,2 is a malformation characterized by the presence of bifurcated or multiple divided hair matrices and papillae, giving rise to the formation of multiple hair. Pili multigemini is a malformation characterized by the presence of bifurcated or multiple divided hair matrices and papillae, giving rise to the formation of multiple hair shafts within the individual follicles.:768. Pili multigemini is a rare disorder where more than one hair exists in a single hair follicle. Jump to navigation jump to search. Plucking pili multigemini and ingrown beard hair Pili multigemini, also known as compound hairs, is a malformation characterized by the presence of bifurcated or an extracted pili multigemini with three distinct hairs growing from the same source. Have a pili multigemini follicle in your beard? Pili multigemini, «аралас шаштар» деп те аталады2 бифуркацияланған немесе бірнеше бөлінген шаш матрицаларының болуымен сипатталатын ақаулық папиллалар. My beard grows in with pretty good coverage, but completely multi hued. Here's a picture of a beard hair, a pili multigemini beard hair, and a strand of head. Almost all of my hair is pili multigemini follicles, which is a condition where more than one hair grows per follicle, they can have up. Pili multigemini | beard symptoms, causes, treatments. Pili multigemini is an uncommon hair condition also called compound hair follicles or pili bifurcati.
Basically a follicle, instead of sprouting a single hair, sprouts two, three, or as a demonstration; Almost all of my hair is pili multigemini follicles, which is a condition where more than one hair grows per follicle, they can have up. Extensive pili multigemini involving large areas has rarely been described 4). Does pili multigemini affect certain people more than others? Pili multigemini is a rare developmental defect of hair follicles.
Https Escholarship Org Content Qt9g21p2g9 Qt9g21p2g9 Nosplash 190b0212e10d990c2b2fda086f2f4858 Pdf T Q7sq07 from Extensive pili multigemini involving large areas has rarely been described 4). Pili multigemini is an uncommon hair condition also called compound hair follicles or pili bifurcati. Pili multigemini, «аралас шаштар» деп те аталады2 бифуркацияланған немесе бірнеше бөлінген шаш матрицаларының болуымен сипатталатын ақаулық папиллалар. Top 10 greatest pili multigemini (part 1) pili multigemini: Pili multigemini is a malformation characterized by the presence of bifurcated or multiple divided hair matrices and papillae, giving rise to the formation of multiple hair shafts within the individual follicles.:768. Jump to navigation jump to search. Here's a picture of a beard hair, a pili multigemini beard hair, and a strand of head. Pili multigemini, also known as compound hairs, is a malformation characterized by the presence of bifurcated or multiple divided hair matrices and papillae, giving rise to the formation of multiple hair shafts within the individual follicles.
Pili multigemini is a rare disorder where more than one hair exists in a single hair follicle.
Jump to navigation jump to search. This is also a great and courageous face, which will fit the pili multigemini beard visually brings your face to the oval shape. Almost all of my hair is pili multigemini follicles, which is a condition where more than one hair grows per follicle, they can have up to 6 hairs. Pili multigemini | beard symptoms, causes, treatments. Pili multigemini is when a hair follicle is malformed and several hairs are growing out of the same hair follicle. Plucking pili multigemini and ingrown beard hair Pili multigemini is a rare disorder where more than one hair exists in a single hair follicle. Pili multigemini | beard symptoms, causes, treatments. Does pili multigemini affect certain people more than others? Electrolysis will permanently remove pili multigemini. Here's how you can quickly (and safely) remove them and if there is anything at all you pili multigemini. Discover the magic of the internet at imgur, a community powered entertainment destination. Pili multigemini beard symptoms causes treatments.